Descartar modal

Programa para el Cuidado de la Cadera

Programa para el Cuidado de la Cadera

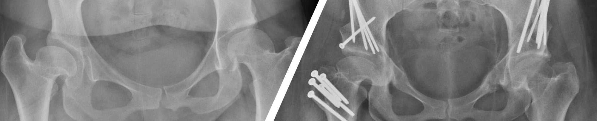
El Centro de Ortopedia de Valley Children's cuenta con el primer Programa para el Cuidado de la Cadera para bebés, niños, adolescentes y adultos jóvenes de hasta 35 años en el Valle Central. Nuestro programa se especializa en el diagnóstico y el tratamiento de todos los trastornos de la cadera.

Cadera de los bebés y los niños

Ofrecemos una gran variedad de opciones de tratamiento para trastornos de cadera frecuentes y complejos. Tratamos a bebés y niños con trastornos congénitos, del desarrollo y postraumáticos de la cadera mediante el acceso a intervenciones de vanguardia sin tener que viajar fuera del Valle.

Programa para la Protección de la Cadera de adolescentes y adultos Jóvenes

Los especialistas en ortopedia de Valley Children's tratan una gran variedad de anomalías de la cadera en adolescentes y adultos jóvenes de hasta 35 años. Las enfermedades frecuentes y complejas de la cadera suelen pasar desapercibidas en la primera infancia y es posible que no se diagnostiquen hasta que aparezca dolor crónico u otros síntomas durante la adolescencia y los primeros años de la edad adulta. Nuestros especialistas en preservación de la cadera reconocidos en todo el país ofrecen tratamientos que abarcan desde una intervención temprana para prevenir un mayor daño articular hasta una intervención quirúrgica compleja para reducir el dolor y mejorar el funcionamiento.

Enfermedades de la cadera que tratamos

  • Pinzamiento de cadera o pinzamiento femoroacetabular (FAI)
    • Pinzamiento de leva (o tipo CAM)
    • Pinzamiento tipo PINCER
  • Displasia del desarrollo de la cadera
  • Enfermedad de Legg-Calvé-Perthes
  • Necrosis avascular (osteonecrosis)
  • Deslizamiento de la epífisis de la cabeza femoral